Científicos descubren la molécula que da origen al miedo en el cerebro
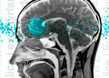
Un equipo internacional de investigadores publicó este martes en la revista Cell Reports un estudio en el que revelan haber ...
Un equipo internacional de investigadores publicó este martes en la revista Cell Reports un estudio en el que revelan haber ...
Fuertes y estremecedoras imágenes de video muestran en las redes sociales el momento en que este sábado un vehículo arrolló ...
Thor: Amor y Trueno llegó a las salas de cine a principios de julio y miles de fans la amaron. ...
La Defensoría del Consumidor realizó este miércoles una inspección en la calle Gerardo Barrios, de San Salvador, con el fin ...
La Comisión Ejecutiva Hidroeléctrica del Río Lempa (CEL) inició con la liberación de más de 1 millón de alevines en ...
Real Oviedo tuvo una pelea de ultras de ambos equipos a pocos metros del estadio El Sardinero, donde varios vecinos ...
Los atletas Roberto López, Adriana Escobar y Miguel Morán terminaron en los primeros lugares de sus categorías de la V ...
Este miércoles 31 de agosto, autoridades del Gobierno de El Salvador llevaron a cabo la premiación del XXI Certamen de ...
Desde hace más de una década la intérprete mexicana, Salma Hayek ha logrado consagrarse como una de las artistas mejor ...
Equipos tácticos operativos de Protección Civil y agentes de la PNC destacados en el oriente del país acudieron a rescatar ...