Encuentran parásitos en cerebro de un migrante salvadoreño en Estados Unidos
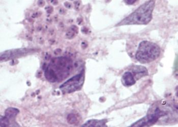
Médicos de los Estados Unidos se llevaron la sorpresa con un migrante salvadoreño al que trataban por el padecimiento de ...
Médicos de los Estados Unidos se llevaron la sorpresa con un migrante salvadoreño al que trataban por el padecimiento de ...
En la India, los padres de una niña de 8 años quedaron aterrados al enterarse de que la menor, que ...