(VIDEO) Paciente con un cuchillo clavado en la espalda sale de un hospital porque quería fumar
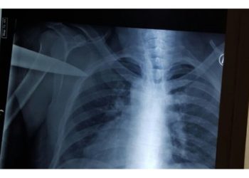
Los trabajadores de un hospital de Zelenodolsk (Tataristán, Rusia) vivieron una situación extraña este 25 de febrero, cuando tuvieron que ...
Los trabajadores de un hospital de Zelenodolsk (Tataristán, Rusia) vivieron una situación extraña este 25 de febrero, cuando tuvieron que ...