Un mujer tropieza y se incrusta en la cabeza la tapadera de una olla a presión
Una mujer identificada como Rich Kaur, se encontraba cocinando en su casa el pasado 23 de julio en la localidad ...
Una mujer identificada como Rich Kaur, se encontraba cocinando en su casa el pasado 23 de julio en la localidad ...
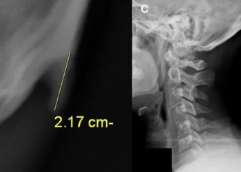
La protuberancia, que puede superar los 20 milímetros, aparece de forma "significativamente más probable" entre las personas jóvenes, según un ...