Un tetrapléjico vuelve a caminar gracias a un implante cerebral
Un accidente en bicicleta dejó al neerlandés Gert-Jan Oskam con una lesión en el cuello que dañó su médula espinal, ...
Un accidente en bicicleta dejó al neerlandés Gert-Jan Oskam con una lesión en el cuello que dañó su médula espinal, ...
Shannen Doherty es una de las actrices más destacadas de Hollywood recordada por programas como “Hechiceras” y “Beverly Hills, 90210”; ...
Un estudio de científicos italianos mostró que los mismos tipos de genes saltadores están activos tanto en el cerebro humano ...
Un hombre que se quejaba de constantes dolores de cabeza y que sufría convulsiones fue informado por médicos de que ...
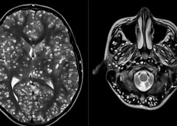
Médicos indios descubrieron el cerebro de un joven de 18 años plagado de quistes causados por un parásito porcino. El ...
Científicos de la Universidad de California en Berkeley (Estados Unidos) ha descubierto que el cerebro utiliza dos 'relojes' para realizar predicciones temporales que ...