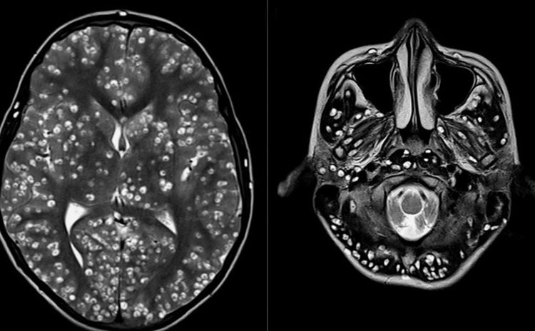
Médicos indios descubrieron el cerebro de un joven de 18 años plagado de quistes causados por un parásito porcino. El muchacho, al que los doctores no pudieron salvarle la vida, acudió al servicio de urgencias de la ciudad de Faridabad, en el estado de Haryana, aquejado de fuertes dolores de cabeza y convulsiones.
Tras practicarle una resonancia magnética y exámenes de ultrasonido, los especialistas encontraron que la corteza cerebral y el tronco encefálico del paciente estaban llenos de larvas.
El muchacho padecía neurocisticercosis, una enfermedad parasitaria originada cuando una persona ingiere huevos microscópicos de una tenia porcina y que afecta al tejido muscular. De ahí los parásitos se propagan al cerebro. Los personas infectadas pueden pasar mucho tiempo sin presentar síntomas.
A pesar de que esta afección se puede tratar con medicamentos, el elevado número de quistes no permitió al chico que se le suministraran los fármacos antiparasitarios necesarios.
El paciente fue tratado con corticoides estándares y medicamentos para evitar que se le manifestaran ataques epilépticos. Sin embargo, no se pudo revertir la situación y murió dos semanas después.
El caso ha sido publicado en un artículo de la revista New England Journal of Medicine.
















X eso mejor cerdo de granja..y de vez en cuando desparasitarse con farmacos o medicina natural…pero no puedo ser vegetariano mas ahora que todo tiene pesticidas..estamos jodidos…